Gum Grafting - Fairfax, VA
Fix Receding Gums with a Gum Graft in Fairfax, VA
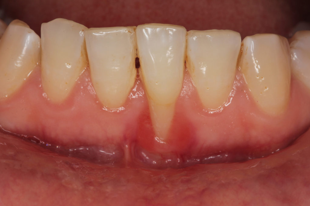
Gum Grafting Is Needed If:
Receding gums can be limited to a single tooth or several teeth and may induce signs and symptoms such as:
- Root Exposure
- Sensitive Teeth
- Tissue Inflammation
- Root Cavity Formation
- Aesthetic Issues
- Gum Disease
- Bone Deterioration
- Gum Tissue Loss
- Tooth Loss
Gum Graft in Fairfax, VA
Dr. Withers offers three types of gum grafting procedures in Fairfax, VA. The type we use will depend on your unique situation and the severity of your gum recession. The three types of gum grafting procedures are:



Treatment for Halitosis in Fairfax, VA

Receding gums are among the most noticeable side effects of periodontal disease. This condition can be limited to a single tooth or affect many teeth, and symptoms may include root sensitivity, gum tissue inflammation, and aesthetic concerns, among others. Receding gums need to be addressed as soon as possible because the gums serve as a shield to bacteria. If you do not have enough gum tissue around the teeth, you may be at a higher risk for developing gum disease or even suffering tooth loss.
Cosmetic Benefits
Many people with receding gums are self-conscious about how their teeth appear to be larger than average or if there is a lot of tooth surface showing when they smile. When gum disease has caused loss of supporting tooth structures, a gum grafting procedure can restore the gum line and improve overall oral health.
Connective Tissue Grafts
These are the most commonly performed types of gum grafts and are designed to treat root exposure around one or more teeth. In this procedure, Dr. Withers will cut a flap of skin from the roof of the mouth and remove the tissue sample from under the flap. The flap is stitched back down and the excised tissue is attached to the gums surrounding the exposed root. This helps to create a healthier gum line.
Free Gingival Grafts
In this procedure, tissue is taken directly from the roof of the mouth and then sutured on the gum area being treated.
Pedicle Grafts
In this procedure, gum tissue is grafted from your own tissue around the tooth that needs to be repaired. A small part is cut away so that one edge stays attached and then the flap is pulled over the exposed areas and sutured into place. In some cases, Dr. Withers may need to use graft material from a tissue bank or synthetic materials to complete the procedure.
Contact us today!
If you are experiencing any of the signs or symptoms of gum recession, it is important that you have this condition evaluated. For more information about having a gum graft in Fairfax, VA or to schedule your appointment for receding gums treatment, call Dr. Withers today! Milder gingival health issues can be treated with sophisticated solutions like LANAP.
Dr. Withers is a Periodontist in Fairfax, VA. Dr. Withers and his team are here to serve you and meet your dental needs as comfortably as possible. It is our goal to make your experience in our Fairfax VA Dental office a pleasant visit and restore your dental health quickly and professionally.


