Dental Implant periodontist in - Brambleton, VA
Long Lasting Restorations Of Your Gums And Teeth Today!
Using Proven Treatments For Healthier And Better Looking Teeth
Are missing and failing teeth preventing you from getting the most out of your smile? Do you want to improve the look of your imperfect teeth?
At our modern and friendly office, patients can get treated with single dental implants, implant-supported dentures, full mouth dental implants, and Gum Disease Treatment to get excellent dental care by Brambleton, VA.
These long lasting and customized treatments can improve the aesthetic beauty and dental function of every patient’s unique smile. Using digital dentistry and precise dental technologies to craft these trusted treatments, patients can look forward to reliable, comfortable, and predictable procedures.
If you’re considering dental implants, Dr. Withers is one of the top implant dentists by Brambleton, VA and would love to answer any questions you have!
Dental Implant Services Near Brambleton, VA
At J. Alexander DDS by Brambleton, VA we're pleased to offer a variety of tooth replacement solutions for failing or missing teeth, including removable and fixed implant supported dentures, partial bridges, and full mouth dental implants. Traditional dentures are the most affordable option, although they aren't a long-term solution and lack the feel and functionality of natural teeth. New Smile Today! full mouth dental implants in Brambleton, VA offers unparalleled versatility.
With this solution, we strategically place four to 10 implants in your jawbone to support a full arch denture, based on your unique bone structure. This implant retained prosthesis solution is cost effective and provides greater stability in the bone, thereby reducing the need for bone graft surgery. Another benefit is that we can usually provide a temporary set of teeth the same day of surgery so you don't have to live another day with missing teeth.

Single Dental Implants
If you have had a tooth extraction and now have a space from the missing tooth, you may be able to replace it. Dr. Withers will determine whether you are a candidate for implants which are designed to mimic the natural tooth structure. With this tooth replacement method, there is no need to involve adjacent teeth for support, such as in the case of a traditional bridge or a partial denture.

Implant Supported Dentures
Implant supported dentures fit right on top of a set of dental implants to provide a very secure fit. This type of bond eliminates the risk of slipping and looseness associated with traditional dentures. They can be removed easily for cleaning. You could also choose fixed implant supported dentures that look and function just like your natural teeth.

All-on-4 dental implants
All-on-4 dental implants deliver results with just four dental implants that are placed for immediate function. The procedure is performed under local anesthesia so that the patient does not feel any pain or discomfort. Four implants are placed in the areas with the highest bone volume. After placement, a new or existing denture is used as a framework for a set of temporary teeth attached the same day.
Replacing Multiple Missing Teeth
Dr. Withers may recommend dental implants after tooth extractions to replace multiple missing teeth. In this situation, a single dental implant can be placed at each site where a tooth has been lost. An implant bridge may also be a good option for replacing multiple missing teeth, where implants would be placed to anchor the bridge. If you are missing an entire arch of teeth or are fully edentulous, we can provide treatment options for implant supported dentures.
Patient speaks about dental implants
Periodontal Treatments Near Brambleton, VA

Gum Recession Treatment
Gum recession, often linked to gum disease, can cause tooth sensitivity and affect the appearance of your smile. It develops gradually, and many don't notice it until symptoms appear. Since gums don't grow back, early treatment is crucial to protect your oral health and smile.

LANAP® Laser Treatment
LANAP® is a minimally invasive, FDA-cleared laser treatment for gum disease that targets infection while preserving healthy tissue. It reduces discomfort, sensitivity, and gum recession, offering a safer, research-backed alternative to traditional surgery.

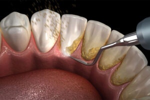
Scaling and root planing
Scaling and root planing is most effective in the early stages of gum disease, reducing pocket depths by 2–3 millimeters. While incurable, early treatment can prevent further bone and tooth loss caused by bacteria in plaque and tartar, which create pockets and damage gums if left untreated.
Restoring Your Oral Health For A Healthier And Happier Smile
Do you have one or more missing teeth, have bleeding gums, or looking to restore the aesthetic beauty and functionality of your smile? Our specialized office treats all these symptoms and more with our reliable treatment methods. Our caring periodontist has a wide variety of procedures that can improve the health and appearance of your smile.
Our full mouth dental implants, implant supported denture, scaling and root planing, and gum grafting procedures are some of the many treatments our team of periodontists are trained and certified to perform by Brambleton, VA. Patients can comfortably get the treatments they need and want without anxiety.

Meet Our Doctor

Dr. J. Alexander Withers is a board-certified periodontist with a D.D.S. from the Medical College of Virginia and an M.S. in Biomedical Sciences. After 10 years of service in the U.S. Air Force, achieving the rank of Lieutenant Colonel, he opened his Fairfax dental practice. He is a member of several prestigious dental organizations and has been repeatedly recognized as a Top Dentist by Washingtonian Magazine and Northern Virginia Magazine. Dr. Withers lives in Fairfax with his wife, Mary, and has two daughters in New York City.
Our Frequently Asked Questions
Why Should I Travel For Missing Teeth By Brambleton, VA?
You should come to our compassionate office because we can restore the health and aesthetic beauty of your smile with our periodontal and dental implant treatments. Our team of periodontists uses the latest techniques and technologies to give you quality treatments.
Is It Possible To Fix A Gummy Smile?
Our board-certified periodontist can fix your gummy smile with crown lengthening and gingivectomy procedures. A crown lengthening procedure is where excess gum and bone tissues are removed. A gingivectomy removes and reshapes gum tissue and reduces pocket depth between the teeth and gums.
Who Is A Candidate For Dental Implants?
Anyone who has one or more missing or damaged teeth should get their dental implants placed by our experienced periodontist. With dental implants, you do not need to worry about your dental prosthesis being unstable, needing to rely on adjacent teeth for support, or about your jawbone deteriorating.
When Do I Need Implant Supported Dentures?
Implant supported dentures are for anyone who is tired of removable dentures that slip and feel uncomfortable. With implant supported dentures, you can get a full arch set of fixed teeth with three or more dental implants from a top periodontist.
Who Is A Candidate for All-On-4 Dental Implants By Brambleton, VA?
For anyone who is missing a full arch of teeth, All-On-4 dental implants are the perfect solution. Using just four dental implants, All-On-4's will restore your jawbone mass and give you a functional and aesthetically pleasing smile that can last for years to come.
Why Should I Get Treated With Gum Grafting By Brambleton, VA?
Our expert periodontist can treat you with different types of gum grafting procedures. We can provide you with connective tissue grafts, free gingival grafts, and pedicle grafts. The type of gum graft you are treated with depends on the degree of gum disease you have experienced.
Contact us today!
The field of implant dentistry continues to evolve and patients that received implants during the 1980s and 1990s are still satisfied with the outcome. As long as you maintain good oral health, you will find that dental implants are a lifelong solution for replacing missing teeth. For more information about dental implants in Fairfax, VA, set up your consultation with Dr. Withers today! Dr. Withers is a Periodontist in Fairfax, VA. Dr. Withers and his team are here to serve you and meet your dental needs as comfortably as possible. It is our goal to make your experience in our Fairfax VA Dental office a pleasant visit and restore your dental health quickly and professionally.


